
Color Doppler Test:
Color Doppler is a type of ultrasound imaging that uses color to show the direction and velocity of blood flow. It is a non-invasive and painless test that is often used to diagnose and monitor a variety of conditions, including:
- Deep vein thrombosis (DVT)
- Peripheral artery disease (PAD)
- Carotid artery stenosis
- Aneurysms
- Heart valve defects
- Congenital heart disease
Color Doppler works by sending high-frequency sound waves (ultrasound) into the body. The sound waves bounce off of blood cells and other tissues, and the echoes are returned to the transducer. A computer then analyzes the echoes to create an image of the blood vessels and blood flow.
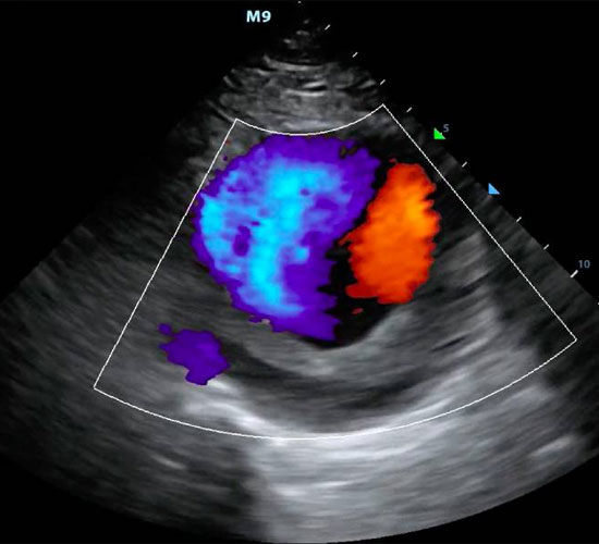
The direction of blood flow is represented by different colors. Red represents blood flowing towards the transducer, and blue represents blood flowing away from the transducer. The velocity of blood flow is also represented by color, with brighter colors indicating faster flow.
What are the benefits of color Doppler ultrasound?
Color Doppler ultrasound has a number of benefits, including:
- It is a non-invasive and painless test.
- It does not require the use of radiation.
- It can provide real-time images of blood flow.
- It can be used to assess a variety of conditions affecting the blood vessels and blood flow.
What are the risks of color Doppler ultrasound?
There are very few risks associated with color Doppler ultrasound. The most common risk is minor discomfort from the pressure of the transducer on the skin.
In rare cases, the gel used during the test may cause an allergic reaction.

Certified Dentist
Our certified dentists have the knowledge and experience to keep your teeth and gums healthy.

New Technology
Dentistry has come a long way over the years, with advancements in technology reshaping.

Pathology Service
When it comes to healthcare, accurate and timely diagnoses are the foundation of effective.